与“卵巢储备”相关的标签
促排方案怎么选择?
促排方案怎么选择?

做试管婴儿,为了能在一个月中,获得更多的卵子,医生常常会用到个体化超促排卵方案。个体化超排,指在严密监控下,用药物诱发多个卵泡同时发育、成熟的方法。那么根据自己的身体情况哪种促排方案比较适合你呢?超长方案适用人群:主要适应于子宫内膜异位、多囊卵巢综合征等疾病的女性。微刺激方案适用人群:卵巢高反应、多囊卵巢综合征、卵巢功...

05-09

卵巢功能中的AMH,揭露生育的秘密
卵巢功能中的AMH,揭露生育的秘密

作为卵泡发育和卵子成熟排出的重要器官,卵巢的功能对生育力的评价至关重要。而>8mm窦卵泡的颗粒细胞、成熟的排卵前卵泡、闭锁卵泡中不分泌AMH。接受卵巢/子宫手术、肿瘤放化疗治疗的患者,其生育力会受到明显的影响,肿瘤患者在选择治疗方案前进行卵巢功能评估,有利于指导选择个体化保留生育功能的策略。13个月时卵巢内的始基...

05-14

迎刃而解,卵巢储备功能下降,备孕吃什么促进排卵
迎刃而解,卵巢储备功能下降,备孕吃什么促进排卵

reserve,DOR)的定义:卵巢中卵子的数量降至阈值(临界值)且卵母细胞的质量下降;生育能力以及对卵巢刺激的反应较同龄人下降,两侧窦卵泡数之和35岁,超过6个月试孕失败;年龄>40岁的DOR;DOR合并输卵管、内异症等其他不孕因素;合并男方不孕因素的患者均可建议进行IVF。

05-14

25岁的身体,40的岁卵巢,卵巢早衰可以做试管婴儿吗?
25岁的身体,40的岁卵巢,卵巢早衰可以做试管婴儿吗?

女性一旦出现了卵巢功能早衰,就会导致不孕,那么,卵巢早衰想要宝宝可以做试管婴儿吗?因为试管婴儿是体外授精的过程,只有健康的精子与卵子两者皆有,才能开始这个过程。当卵巢早衰女性仍可以通过促排卵技术获取卵子时,就可以借助试管婴儿技术生育宝宝;而当卵巢早衰女性卵巢已恶化到无法排卵时,那试管婴儿也无法挽救。在试管婴儿开始之前,...

05-14

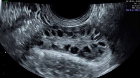
多囊卵巢综合征:超声辅助诊断新技术
多囊卵巢综合征:超声辅助诊断新技术

目前,多囊卵巢形态多由超声医师主观判断,无法对卵泡总数、卵泡大小或卵巢体积进行精细量化。作者指出,超声检查可用于月经周期异常女性卵巢的常规评估,主要目的为诊断多囊卵巢综合征(PCOS)。的小卵泡,和/或卵巢体积增大(>10ml)。的测量数值与二维数据相比,结果更可靠准确,可应用于辅助生殖过程中的卵泡追踪或卵巢储备的评估...

05-14

试管婴儿进周前卵巢储备情况的评估_基础医学_医药卫生_专业资料
试管婴儿进周前卵巢储备情况的评估_基础医学_医药卫生_专业资料

试管婴儿进周前卵巢储备情况的评估卵巢储备是决定试管婴儿是否能获得满意结局的决定性因素之一,备受试管婴儿家庭关注。那么,在试管婴儿之前女性患者该如何评判卵巢储备功能呢?上升,但若仅单独采用年龄来评估卵巢储备的话其准确性较低。平能够较好地评价卵巢储备功能。67pmol/l)时,在试管促排卵疗程中常因卵巢反应低而取消试管婴儿...

05-14

窦卵泡计数 想要升级当妈,测测生育能力强不强
窦卵泡计数 想要升级当妈,测测生育能力强不强

所以卵子绝对是不可再生资源,大龄女性在备孕前就要看看卵子的储备量是不是还充足,如果充足,那就说明你的生育能力还是很强的。测卵巢储备,看生育能力一般医院最常用的就是经阴道超声进行窦卵泡计数(AFC)。窦卵泡是指那些在阴道超声下可以看到的直径在2~这些人需要测测生育能力如果女性确实出现卵巢储备功能下降,那么很遗憾目前没有任...

05-14

贝克曼库尔特抗缪勒管激素(AMH)检测
贝克曼库尔特抗缪勒管激素(AMH)检测

Hormone,AMH,抗缪勒管激素AMH由卵巢内的窦前卵泡和小窦卵泡(≤6mm卵泡)分泌,大卵泡及排卵后卵泡则不分泌,因此AMH可以对卵巢内有发育潜能的卵泡数量进行直观的反应。与正常卵巢相比,小窦卵泡数量的增加将分泌更多的AMH;同时升高的AMH水平将抑制卵泡对于FSH的敏感性,阻止小窦卵泡进一步的发育成熟。

05-14

测试卵巢储备的重要性
测试卵巢储备的重要性

测试卵巢储备的重要性卵巢储备测试一目了然卵巢储备的主要测试是卵泡刺激素(FSH),雌二醇,抗苗勒氏激素(AMH)和卵巢窦卵泡计数。卵巢储备的主要测试是卵泡刺激素(FSH),雌二醇,抗苗勒氏激素和卵巢窦卵泡计数。结合FSH测试,可以通过测试雌二醇(雌激素的一种重要形式)来评估女性的卵巢功能和卵的质量。超声上可见的窦卵泡数...

05-13

> 巧克力囊肿”怎么办
> 巧克力囊肿”怎么办

如果你的超声报告上提示“子宫内膜异位囊肿”“巧克力囊肿”怎么办。子宫内膜异位囊肿也称做“巧克力囊肿”,是子宫内膜异位到卵巢内形成的囊肿,囊液是粘稠的陈旧性出血,似巧克力液体。“巧克力囊肿”怎么治

05-12

[转载]一问一答216  AMH和窦卵泡计数的意义及正常值
[转载]一问一答216  AMH和窦卵泡计数的意义及正常值

AMH和窦卵泡计数是个啥东西?窦卵泡计数的正常值是多少?多囊卵巢的窦卵泡计数应该是什么值?在PCOS窦卵泡是多的,一个里面的起码大于12个,这个量比正常值大2~3倍左右。关于窦卵泡计数,大家确实也都在研究当中,每个生殖中心的观点可能都不太一样,咱们可以记一些异常值,比较主流的观点:一个是博罗尼亚卵巢反应不良专家共识,这...

05-12

巧囊(巧克力囊肿)已治愈!来发这一年的抗囊经历
巧囊(巧克力囊肿)已治愈!来发这一年的抗囊经历

整整一年时间,病情了解全靠自己,采用最保守最保守的治疗方式,连中药都没吃,巧囊居然在如此短暂的时间里就被我战胜了。假设你真的带巧囊怀孕了,那你真的超级幸运!但是吃了30天的时候开始出血,我知道阴道出血的时候卵巢内肯定也会出血,卵巢出血巧囊就一定会变大。这一年每天都坚持吃药,头几个月偶尔还能感觉到左卵巢位置涨涨的(和以前...

05-10

    112